esonic@esonicimage.com

· 独家柱波束成像系统

· RVA??原始数据声衰减定量成像技术

· mFlow??超微血流技术

· RTE实时弹性成像

· iL20-6 超高宽频带L型线阵探头,用于肌骨、血管、小儿等浅表临床领域。

· P12-4 超宽频带相控阵探头,用于小儿心脏、颅脑血管等临床领域

· 可满足超声科/体检科/介入科/妇产科及其他临床科室,全身应用的中型高端台式机,体积小巧,占地少,便于移动。


临床图像
子宫内膜下螺旋动脉(mFlow+)
法洛四联症组织多普勒图像(TDI)
Needle TS穿刺增强技术
足背部通风
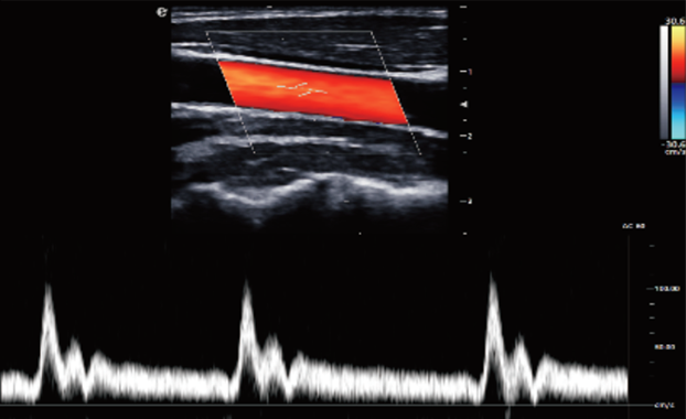
颈动脉血流频谱
多线解剖M型(AM)
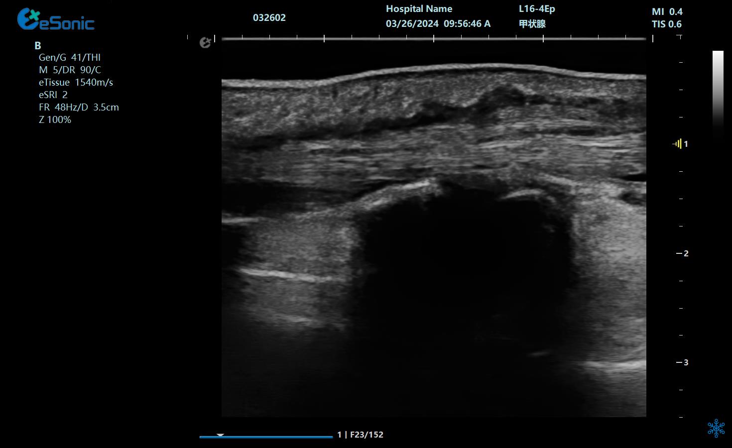
甲状腺横切面
心尖四腔彩色血流图像

?:400-0628060 ?:esonic@esonicimage.com

:利来国国际网站影像-ESI

COPYRIGHT? 利来国国际网站影像  京ICP备2022002181号-1

药品医疗器械互联网信息服务备案:(京)网药械信息备字(2025)第 00057 号