esonic@esonicimage.com

横版logo - 副本.jpg


急重症超声的产品应用介绍

急重症超声亮点介绍:

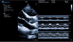
1. 优质基础图像

图像清晰?:提供高分辨率、高穿透优异图像,满足急重症卧床病患诊疗,帮助临床医生清晰地看到病灶。急重症.jpg

??图像处理能力?:优质的图像处理功能可以帮助医生更好地分析病情,使医生能够更准确地判断病情。

2. 操作流程简易

?一键式操作?:在急重症临床环境中,时间就是生命,具备一键式操作功能,以便医生能够快速上手并使用。

用户友好界面?:中文操作界面简洁明了,减少医生的操作负担,快速启动与响应?,以便在紧急情况下能够迅速投入使用。

3. 机型小巧可移动

?便携式设计?:急重症患者需要随时转移或进行紧急救治,具备小巧便携的设计,以便医生能够随时携带并使用。

移动性增强?:配备顺滑万向轮或手柄等移动辅助装置,以便医生能够轻松地将设备移动到需要的位置。

场景应用:小身材,多场景、多用途

急重症超声心动图用于心脏病诊断的适应症

先心病:ASD、VSD、 F4 、AS、PS等;心内膜垫缺损、大动脉转位、左/右心发育不良等。瓣膜病:风心病、老年退化性心脏病.  SIE。心包疾病:积液(PE)、肿瘤、填塞等。

心肌疾病:扩张型、肥厚型、限制型和特发型等。大血管疾病:主动脉夹层、缩窄、动脉瘤等。冠状动脉疾病:冠心病、川崎病、畸形。其他:外伤、异物等


临床病例(一)

女性,68岁,临床诊断:冠心病

超声表现:左房大,左室壁运动幅度明显减低,以室间隔较明显;心包腔内见无回声区,右室前壁8mm,左室侧壁10mm。

冠心病、心包积液


临床病例(二)

男性,82岁,临床诊断:风心病 房颤

超声表现:左房大,二尖瓣增厚、回声增强、运动僵硬;CDFI显示二尖瓣、三尖瓣、主动脉瓣返流信号。

风心瓣膜病二、三尖瓣关闭不全


临床病例(三)

二尖瓣病变,脱垂?三叶?


临床病例(四)

男性,6岁,临床诊断:先心病 室间隔缺损

超声表现:室间隔膜周部可见回声中断;CDFI显示左向右过隔血流信号。

室缺(膜周)


临床病例(五)

男性,7岁,临床诊断:肺动脉高压

超声表现:右室壁增厚约15mm,房间隔卵圆孔中断4mm,房间隔近房顶部回声中断18mm,室间隔连续性好,右心、左房增大,肺动脉增宽;CDFI显示房间隔暗淡双向分流,肺

动脉收缩压40mmHg。

Ⅱ孔型房间隔缺损;(上腔静脉型)卵圆孔未闭;肺动脉高压


临床病例(六)

女性,51岁,临床诊断:先心病 室间隔缺损 肺动脉高压超声表现:左心扩大,肺动脉增宽;室间隔膜周部可见回声中断约25mm;CDFI显示以左向右为主的双向分流信号。降主动

脉至左肺动脉间有管状交通,宽约6mm;房间隔连续性好。肺动脉收缩压70mmHg。

1、室缺(膜周部) 室水平左向右为主双向分流。2、PDA  大动脉水平左向右为主双向分流。 3、肺动脉高压。


相关心脏应用功能--M型、解剖M型

18dd0675d53918b7d05ea7a823af71a.png

M型-最常用的心功能检测法;高血压病除二维观察外,其室壁增厚及心腔大小的改变,均也可通过M型测量而获得

解剖M型-适用于心尖上翘者、瘦长体形者、室壁瘤形成等...



相关心脏应用功能--M型、解剖M型技术总结:

1edf4ffc259114ab6502340e160add1.pngM型超声是评估心脏功能的重要方法之一,通过其高速的取样帧频,可以将心脏各个阶段的运动状态显示出来。

解剖m型:

不受角度限制,打破技术壁垒不影响M型图谱分辨率。

三线解剖M型:

同一心动周期,多节段评估心功能。

解决节段运动异常和判断同步化运动。

彩色M型:

直观显示室璧运动和血流动力学关系。

更精准判断血流时向,更精准评估心脏功能。


相关技术优势:eHertz的高敏感血流,提高血流敏感性,降低噪声干扰

eHertz优异的TDI表现- 图像非常干净

组织多普勒

包含多种模式

可对室壁运动进行速度、加速度的测量和分析

观察心肌运动、定量分析心肌的运动速度变化,检测心肌供血情况

评价早期的舒张功能


image.png

重症心脏超声- FATE方案:

是重症病人循环管理推荐的目标导向超声评估评估方案之一,在此基础上扩展快速的下腔静脉超声检查,增加和完善容量状态和液体反应性的评估。



胸骨旁左心室长轴切面image.png

扫查方法:探头放在胸骨左缘三到四肋间或距胸骨2-3cm处,探头标记指向患者右肩大约9-10点位置

超声声像图:显示左房、左室、主动脉、右室、室间隔及后壁;同时,此切面可观察二尖瓣及主动脉瓣的形态及运动。


胸骨旁大动脉短轴切面

扫查方法:探头置于胸骨旁第2、3肋间,在探查左室长轴切面基础上将探头顺钟向旋转90°

超声声像图:显示主动脉根部及三个瓣叶、左房、右房、三尖瓣、右室、右室流出道、肺动脉


胸骨旁左心室短轴切面(二尖瓣水平)

超声所见:左室呈圆形,右室呈新月形;舒张期二尖瓣前后叶开放呈“鱼口状 ”,收缩期关闭呈“”字形


胸骨旁左心室短轴切面(乳头肌水平)

超声所见:清晰显示前外、后内组乳头肌、室间隔、右心室、左心室及室壁,观察左心室壁中间段各节段运动情况


心尖四腔切面

扫查方法:探头放在心尖搏动处,使超声束由心尖向右上方指向心底。

超声声像图:显示左、右侧心房及心室、房室间隔;二、三尖瓣的形态及结构;心腔血流灌注、瓣膜返流等。


剑突下四腔心切面

image.png

扫查方法:探头置于剑突下,声束指向左肩,稍向上倾斜30°,接近心脏冠状切面

超声声像图:图像近场扇尖处可见肝实质反射,此切面可观察左心房、左心室、右心房、右心室、房间隔、室间隔、二尖瓣、三尖瓣等结构。



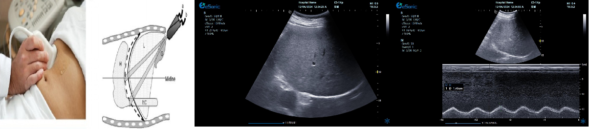
剑突下下腔静脉切面

扫查方法:在剑突下四腔心切面的基础上逆时针调整探头,直至标记指向被检者的头部,轻轻将探头向被检者右边倾斜。

超声声像图:显示右房,下腔静脉及肝静脉,注意观察下腔静脉及肝静脉有无扩张及搏动。


创伤评估FAST

image.png

重症肺部超声

超声声像图:声束垂直胸膜线时,可见多条A线与胸膜线平行,且等间距。

膈肌超

评估内容:膈肌移动度、膈肌厚度、增厚率。

评估意义:判断病人膈肌功能,呼吸功能,脱机前后评估等

常用检查模式:B、M

检查探头:凸阵、线阵

对超声设备要求:M型、解剖M型;测量快速准确;有专用的测量包

膈肌厚度检查

image.png

探头:高频线阵探头

部位:放置于腋前线与腋中线,7/8肋间或8/9肋间,沿肋间隙放置,观察和测量膈肌的厚度。

功能:M型超声,膈肌测量包


膈肌厚度变化

膈肌厚度测量

image.png

呼气末膈肌厚度正常值为2.0-3.5cm

膈肌活动度检查

image.png

探头:低频探头

部位:放置在腋前线或锁骨中线与肋缘交界处,启用M模式取样线垂直于膈肌,观察和测量膈肌运动幅度。

功能:M超,膈肌测量包


膈肌活动度测量

image.png


eHertz新技术助力急重症新突破 ---超声引导下的有创操作

超声引导下心包穿刺;胸腔积液及积气穿刺、置管;腹腔积液的抽取;CVC、PICC置管;超声引导下动脉穿刺;穿刺活检;ECMO;重症胰腺炎经皮穿刺置管引流;区域神经阻滞

肌骨领域超声引导介入治疗

穿刺针智能解决方案:穿刺针增强显影,智能MAP,无磁导航,为临床医生有创穿刺保驾护航,真正实现精准导航。

eHertz新技术助力急重症新突破---mFlow开创感染性休克,微循环灌注评估新思路

彩色多普勒成像、3D壁滤波原理;血流敏感度明显提升,分辨率达100微米;支持灰阶和微血流量同步测量、可测极低速血流的速度;多种模式,多数据定量

急重症应用:重症肾移植病人肾脏的评估;急性肾损伤评估;微循环灌注;感染性休克。

image.png



优异的人机工程学及操作设计

便捷操作的按键设计:充分考虑各种应用场景,合理布局按键,操作简单易学,合理匹配参数调节布局,还可支持用户自定义功能,可一键保存用户自定义检查模式。 

线缆管理:台车充分考虑线缆管理在急重症病房的重要性,两侧挂钩以及拓展器设计, 减少了因线缆碾压造成的探头损坏及拖地污染造成 的可能的交叉感染。 

秒唤醒:超静音面板冷却系统。完全启动仅需30s,完全关闭仅需15s。在紧急情况下以最快的速度使机器进入工作状态,让医生感受到前所未有的响应速度。 

四探头扩展器:台车配置四个探头扩展器,一秒内即可切换探头,能让医生在最短的时间内完成探头的切换,满足不同部位穿刺引导的需求。 

图像一键优化eTuner:丰富的一键优化功能,包括:二维、彩色、频谱及TDI优化。智能 优化调节各种图像参数,大大减少按键操作,提高工作效率。 

超大容量:1T固态硬盘,为临床医生提供了扫查数据存储支持。 

超静音面板冷却系统:完全启动仅需30s,完全关闭仅需15s。为医生提供生命求治的宝 贵时间。 

超强机身及背光设计:钛镁合金机身防腐耐磨,适应各种应用场景;仿人体指感背光按键、确保暗室操作环境;












































?:400-0628060 ?:esonic@esonicimage.com

:利来国国际网站影像-ESI

COPYRIGHT? 利来国国际网站影像  京ICP备2022002181号-1

药品医疗器械互联网信息服务备案:(京)网药械信息备字(2025)第 00057 号